Fluoroprofilassi: cosa è cambiato? Premium
Il fluoro svolge un ruolo centrale nella prevenzione della carie attraverso un’azione prevalentemente topica, ma la crescente attenzione ai possibili effetti di un’eccessiva esposizione rende necessario rivedere criticamente le attuali indicazioni di fluoroprofilassi, soprattutto in età pediatrica.
5 minuti con Giuseppe Siciliani
Il mercato degli allineatori è cresciuto rapidamente e continuerà a evolversi. Tuttavia, la vera innovazione non dipende solo dall’estetica o dal marketing, ma dalla...
Idrogel in odontoiatria: soluzioni alla avanguardia
Gli idrogel sono materiali polimerici organizzati in reti tridimensionali capaci di inglobare e trattenere grandi quantità di acqua senza dissolversi. Questa elevata idratazione conferisce...
Candidosi orale e microbioma: 2 elementi, uno studio innovativo
La candidosi orale rappresenta una delle infezioni opportunistiche più comuni del cavo orale e, negli ultimi anni, ha attirato crescente attenzione per il suo...
Segui le nostre pagine social per rimanere aggiornato su articoli di attualità, contenuti ad alto valore scientifico, eventi e iniziative.
Leggi il Dentista Moderno
Lavori scientifici
Il bruxismo del sonno, come trattarlo a occhi chiusi
Il bruxismo del sonno è un disturbo complesso che richiede una diagnosi accurata, un approccio terapeutico personalizzato e, quando necessario, un intervento multidisciplinare per...
Ritrattamento canalare. Rimozione di 2 perni in fibra con tecnica ultrasonica
Il ritrattamento canalare è una procedura che si attua al fine di risolvere le problematiche endodontiche in essere e ha come scopo quello di...
Dentifrici al fluoro: la biodisponibilità dei diversi fluoruri (senza risciacquo finale)
La biodisponibilità dei fluoruri nei dentifrici al fluoro è legata alla loro composizione chimica: i diversi sali fluorurati presentano infatti specifiche capacità di interagire...
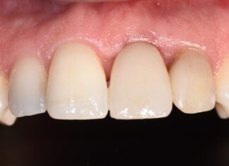
Mantenimento del profilo tissutale nell’impianto post-estrattivo ritardato: obiettivo realistico?
Gestione chirurgico-protesica di un sito implantare post-estrattivo, con focus sulla gestione del profilo tissutale nell’impianto post-estrattivo mediante il restauro provvisorio, utilizzato come supporto per...

































